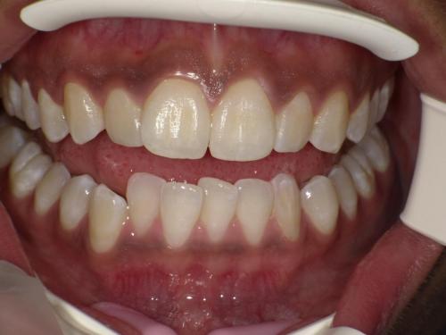
We proudly offer Invisalign® clear aligners to help our patients achieve beautifully straight smiles without the need for traditional braces. Our Invisalign Gallery showcases real patient results, highlighting the transformative power of this innovative orthodontic treatment. Explore the gallery to see how Invisalign can correct misalignments, close gaps, and enhance your smile discreetly and effectively.
