Rate Us:

(304) 243-1500  -  

1201 Mount Dechantal Rd, Wheeling, WV 26003, United States

Zambito Family Dentistry

Zambito Family Dentistry Menu
  • Home
  • Services
    • Dental Implants
    • Cosmetic Dentistry
    • Crowns
    • Bridges
    • Invisalign
    • Dentures
    • Fillings and Restoration
    • Tooth Whitening
    • Preventative Care
    • 3D X-rays
    • Root Canals
    • 6 Month Smiles
    • Full Mouth Rehabilitation
    • Emergency Dental Care
    • Botox
  • About
    • Dr. Ricardo Zambito
    • Dr. Chris Zambito
    • Dr. Natalie Barissi
    • Our Staff
    • News
    • UV Angel Partnership
    • Recommended Products
    • Family Corner
    • FAQ
  • Media
    • Photo Gallery
    • Video Testimonials
    • Videos
  • Contact
  • Pay Now
  • Fill Out Paperwork

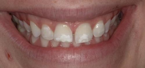
Veneers

Before
Before
1
After
After
Before
Before
2
After
After
Before
Before
3
After
After
Before
Before
4
After
After
Before
Before
5
After
After
Before
Before
6
After
After
Before
Before
7
After
After
Before
Before
8
After
After
Before
Before
9
After
After
Before
Before
10
After
After
Before
Before
11
After
After
Contact
Us
(304) 243-1500

Contact Us

(304) 243-1500

1201 Mount Dechantal Rd, Wheeling, WV 26003, United States

Send us an Email
Sitemap
Accessibility
Website by DOCTOR Multimedia
Accessibility by WAH
  • 6 Month Smiles Gallery
  • About
    • Allison
    • Amy
    • Becca
    • Brittany
    • Callie
    • Cheryl
    • Computerized Charting
    • Courtni
    • Digital Photography
    • Digital X-Rays
    • Dr. Chris Zambito
    • Dr. Natalie Barissi
    • Dr. Ricardo Zambito
    • Electronic Claim Processing
    • Erin
    • FAQ
    • H2O Biolase Waterlase Dentistry
    • Intra Oral Camera
    • Jamie
    • KAVO / DIAGNOdent
    • Kristy
    • Laura
    • Michelle
    • Micro Air Abrasion (KCP)
    • Odontoson
    • Our Staff: Committed to Exceptional Dental Care in Wheeling, WV
    • Penny
    • Sapphire Whitening System
    • Sarah
    • Soft Tissue Laser ND: YAG Laser
    • Technology
  • Adult Health History
  • Al V.
  • Appointments
  • Banford
  • blog
    • 5 Lasting Benefits of Straight Teeth
    • Can You Straighten Teeth With Crowns? Here’s How
    • How Long Do Braces Take to Straighten Teeth?
  • Carla A.
  • CEREC Ceramic Restoration – Same Day Crown
  • Child Health History
  • Cindy B.
  • Connie B.
  • Contact
    • E-mail Zambito Dentistry
    • Hours of Operation and Contact Information
    • Map and Directions
    • Outside the Office Financing
  • Dave C.
  • Edward S.
  • Emergency Dental Care with Virtual Consults at Zambito, Wheeling WV
  • Explore Full Range of Dental Services in Wheeling, WV
    • 3D X-rays in Wheeling
    • 6 Month Smiles
    • Comprehensive Dental Bridge Services
    • Comprehensive Full Mouth Rehabilitation in Wheeling, WV
    • Cosmetic and Durable Dental Crowns in Wheeling WV
    • Cosmetic Dentistry in Wheeling, WV – Veneers, BOTOX®, and More for a Perfect Smile
    • Dental Implants in Wheeling, WV – Premier Implants Services at Zambito Dentistry
    • Denture Solutions in Wheeling
    • Fillings and Restoration Services in Wheeling
    • Invisalign® in Wheeling: Custom Clear Aligners with Dr. Zambito
    • Preventative Care
    • Root Canal Treatment in Wheeling
    • Tooth Whitening in Wheeling
  • Facilities
  • George K.
  • Glossary
    • Bitewing X-Ray
    • Endodontics
    • Fixed and Removable Appliances
    • Full-Mouth X-ray
    • Panoramic X-ray Film
    • Periodontal Disease
    • Periodontal Exam
    • Periodontics
    • Periodontitis
    • Pulpotomy
    • RP&C
    • S&C I, S&C II
  • Hank C.
  • Home
  • Invisalign Gallery
  • IPM- Integrity Practice Management
  • Kim M.
  • Marlene K.
  • Mary Ann D.
  • Myrtle M.
  • News
    • “Serve the Service” Day
    • American Academy of Facial Esthetics Names Dr. Ricardo Zambito as Implant Director for Dental Implant Courses
    • Be alert to the signs of TMD
    • Dr. Chris Zambito attends Midwest Implant Institute Course
    • Dr. Chris Zambito Joins Zambito Family Dentistry in Wheeling
    • Dr. Ricardo Zambito completed his Fellowship with AAFE
    • Dr. Zambito and Staff Attend Implant Symposium
    • Like you never had a filling…
    • Our doctors receive Governor’s Award for our Annual “Serve the Service” Event
    • Zambito Dentistry Participates In Augusta Levy Color Me Au-Some 5K Run & Walk
    • Zambito Family Dentistry Offering Invisalign®
  • Patient Forms
    • Adult Health History
    • Child Health History
    • Records Release Form
  • Patti B.
  • Photo Gallery
    • Bonding
    • Bridges
    • Cosmetic Partial
    • Crowns
    • Family Corner
    • Full Mouth Rehab
    • Implant Denture
    • Implants
    • Mini Implants
    • Our Office
    • Veneers
    • WOW Whitening
  • Pre-med
  • Privacy Policy for Zambito Family Dentistry
  • Recommended Products
    • Clinpro 5000
    • Crest Spin Brush
    • Crest Whitestrips
    • Dental Herb Company Products
    • Fluoridex
    • Oral B Triumph Power Toothbrush
    • Rembrandt
    • Sensodyne ProNamel
  • RECORDS RELEASE REQUEST
  • Regis D.
  • Review Us
  • Reviews
  • Sarah C.
  • Sitemap
  • Thank You
  • Transformation: Botox Before and After Results at Zambito Family Dentistry in Wheeling
  • UV Angel Partnership
  • Video Testimonials
  • Videos
    • Family Friendly Dentistry
    • State of the Art with A Family Heart
    • Zambito Family Dentistry Offers Dental Implants
  • What Can We Improve
  • Zambito Dentistry Photo Gallery
Call Us Text Us